Hamburger Menu Button
Thermo Fisher Scientific Logo
Sign in
Don't have an account ?
Create Account
Products
Antibodies
Pipettes and Pipette Tips
Lab Centrifuges
Ultra-Low Temperature Freezers
Spectroscopy
Beakers
PCR Equipment and Supplies
Oligos, Primers, Probes and Genes
TaqMan Real-Time PCR Assays
See all product categories
Applications
Cell Analysis
Lab Equipment
Real-Time PCR
PCR
Chromatography
Cell Culture and Transfection
DNA and RNA Extraction and Analysis
Protein Biology
Flow Cytometry
Chemicals
See all applications and techniques
Services
Custom Services
Lab Informatics
360° CDMO and CRO Solutions
CDMO Services
CRO Services
Instrument Services
Training Services
Unity Lab Services
See all services
Help and Support
Customer Center
Contact Us
Certificates of Analysis and Conformance
Safety Data Sheets (SDS)
Manuals
How to Cite Our Products in a Paper
Instrument Support
Knowledge Base and Product FAQs
Learning Centers
See all help and support topics
Popular
TaqMan Real-Time PCR Assays
Antibodies
Oligos, Primers & Probes
GeneArt Gene Synthesis
Cell Culture Plastics
Contact Us
Quick Order
Order Status and Tracking
Documents and Certificates
Thermo Fisher Scientific Logo
Search
Search All
Search
Search button
Order Status
Quick Order
Sign in
Sign in
Don't have an account ?
Create Account
Account
Check Order Status
Custom Products & Projects
Services Central
Home
›
Image Gallery
›
Image Gallery Detail
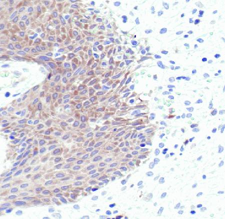
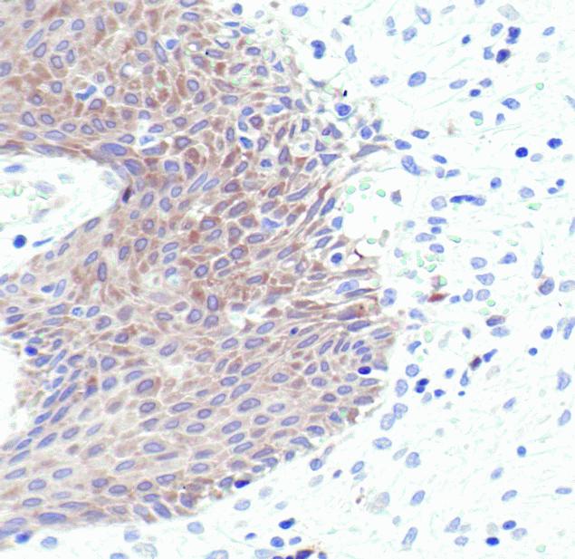
Immunohistochemical analysis of paraffin-embedded human skin, using c-Rel Antibody.
Download High Resolution (1400px x 500px)
Download Low Resolution (1024px x 768px)
Related Products
A16667
Related Images
CD335 (NKp46) Antibody (63335182) in RE
Go ›
CD223 (LAG-3) Antibody (56223942) in TM
Go ›