Hamburger Menu Button
Thermo Fisher Scientific Logo
Sign in
Don't have an account ? Create Account
  • Products
    • Antibodies
    • Cell Culture Media
    • Chemicals
    • Chromatography Columns and Cartridges
    • Lab Equipment
    • Lab Plasticware and Supplies
    • Microplates
    • Oligos, Primers, Probes and Genes
    • TaqMan Real-Time PCR Assays
    • Greener Products
    • See all product categories
  • Applications
    • Bioprocessing
    • Cell Culture and Transfection
    • Cell and Gene Therapy
    • Chromatography
    • Molecular Testing
    • Digital Solutions
    • DNA and RNA Extraction and Analysis
    • Spectroscopy, Elemental and Isotope Analysis
    • See all applications and techniques
  • Services
    • 360° CDMO and CRO Solutions
    • CDMO Services
    • CRO Services
    • Custom Services
    • Financial and Leasing Services
    • Instrument Services
    • Lab Informatics
    • OEM and Commercial Supply
    • Training Services
    • Unity Lab Services
    • See all services
  • Help and Support
    • How to Order
    • Instrument Support
    • Learning Centers
    • Register for an Account
    • Technical Support Centers
    • See all help and support topics
  • Popular
    • TaqMan Real-Time PCR Assays
      TaqMan Real-Time PCR Assays
    • Antibodies
      Antibodies
    • Oligos, Primers & Probes
      Oligos, Primers & Probes
    • GeneArt Gene Synthesis
      GeneArt Gene Synthesis
    • Cell Culture Plastics
      Cell Culture Plastics
  • Promotions
  • Contact Us
  • Quick Order
  • Order Status and Tracking
  • Documents and Certificates
Thermo Fisher Scientific Logo

Search

Search All
Search button
          • Order Status
          • Quick Order
          • Promos
          • Sign in
            Sign in
            Don't have an account ? Create Account
            • Account
            • Check Order Status
            • Connect: Lab, Data, Apps
            • Custom Products & Projects
            • Services Central

          Disclaimer

          Clicking the images or links will redirect you to a website hosted by BenchSci that provides third-party scientific content. Neither the content nor the BenchSci technology and processes for selection have been evaluated by us; we are providing them as-is and without warranty of any kind, including for use or application of the Thermo Fisher Scientific products presented.

          • Primary Antibodies ›
          • FGF3 Antibodies

          Proteintech

          FGF3 Polyclonal Antibody

          View all (10) FGF3 antibodies

          {{$productOrderCtrl.translations['antibody.pdp.commerceCard.promotion.promotions']}}

          {{$productOrderCtrl.translations['antibody.pdp.commerceCard.promotion.viewpromo']}}

          {{$productOrderCtrl.translations['antibody.pdp.commerceCard.promotion.promocode']}}: {{promo.promoCode}} {{promo.promoTitle}} {{promo.promoDescription}}. {{$productOrderCtrl.translations['antibody.pdp.commerceCard.promotion.learnmore']}}

          Datasheet
          Certificates
          Protocols
          Questions & Answers
          Tech Support
          Datasheet
          Certificates
          Protocols
          Questions & Answers
          Tech Support
          Datasheet
          Certificates
          Protocols
          Questions & Answers
          Tech Support

          Cite FGF3 Polyclonal Antibody

          Additional Information:
          {{banner.description}}
          {{$ctrl.isSkuNotesCollapsed ? 'View more' : 'View less'}}
          • Antibody Testing Data (5)
          FGF3 Antibody in Immunohistochemistry (Paraffin) (IHC (P))
          Group 53 Created with Sketch.
          FGF3 Antibody in Immunohistochemistry (Paraffin) (IHC (P))
          Group 53 Created with Sketch.

          FIGURE: 1 / 5

          {{ $ctrl.currentElement.advancedVerification.fullName }}
          {{ $ctrl.currentElement.advancedVerification.text }}

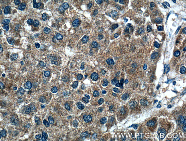
          FGF3 Antibody (27100-1-AP) in IHC (P)

          Immunohistochemistry of paraffin-embedded human liver cancer tissue slide using 27100-1-AP ( FGF3 Antibody) at dilution of 1:200 (under 40x lens). {{ $ctrl.currentElement.advancedVerification.fullName }} validation info. View more
          Published figure supplied by benchsci-logo
          PMID: {{$ctrl.currentElement.benchSciPubmedId}}
          View Product

          {{$ctrl.videoDesc}}

          {{$ctrl.videoLongDesc}}

          FGF3 Antibody in Immunohistochemistry (Paraffin) (IHC (P))
          FGF3 Antibody in Immunohistochemistry (Paraffin) (IHC (P))
          FGF3 Antibody in Immunohistochemistry (Paraffin) (IHC (P))
          FGF3 Antibody in Immunohistochemistry (Paraffin) (IHC (P))
          FGF3 Antibody in Western Blot (WB)
          FGF3 Polyclonal Antibody

          Product Details

          27100-1-AP

          Applications
          Tested Dilution
          Publications

          Western Blot (WB)

          1:500-1:2,000
          -

          Immunohistochemistry (Paraffin) (IHC (P))

          1:50-1:500
          -
          Product Specifications

          Species Reactivity

          Human

          Host/Isotype

          Rabbit / IgG

          Class

          Polyclonal

          Type

          Antibody

          Immunogen

          FGF3 Fusion Protein Ag25361 (173-239 aa encoded by BC113739)
          View immunogen

          Conjugate

          Unconjugated Unconjugated Unconjugated

          Form

          Liquid

          Concentration

          0.43 mg/mL

          Purification

          Antigen affinity chromatography

          Storage buffer

          PBS, pH 7.3, with 50% glycerol

          Contains

          0.02% sodium azide

          Storage conditions

          -20°C

          Shipping conditions

          Wet ice (domestic); Dry ice (international)

          Product Specific Information

          Immunogen sequence: QKSSLFLPR VLDHRDHEMV RQLQSGLPRP PGKGVQPRRR RQKQSPDNLE PSHVQASRLG SQLEASAH (173-239 aa encoded by BC113739)

          Target Information

          Fibroblast growth factors (FGFs) can stimulate the proliferation of mesenchymal, epithelial and neuroectodermal cells. FGF3 belongs to the heparin binding growth factors family. Members of the family include Acidic FGF (also known as aFGF or FGF 1), basic FGF (bFGF or FGF 2), FGF 3 (also known as Int2) and FGF 4 (also known as hst or Kaposi FGF). FGF 4 was first revealed to be an oncoprotein in Kaposi's sarcoma cells. Other family members include FGF 5, FGF 6, FGF 7 (keratinocyte growth factor, KGF), FGF 8 (AIGF), FGF 9 (GAF) and FGF 10. FGF3 is activated by proviral insertion of mouse mammary tumor virus (MMTV). FGF3 is responsible for most of breast malignancies.

          For Research Use Only. Not for use in diagnostic procedures. Not for resale without express authorization.

          References (0)

          Have you cited this product in a publication?
          Let us know so we can reference it here.
          Cite this product

          Bioinformatics

          Protein Aliases: FGF; FGF-3; Fibroblast growth factor; Fibroblast growth factor 3; fibroblast growth factor 3 (murine mammary tumor virus integration site (v-int-2) oncogene homolog); HBGF-3; Heparin-binding growth factor 3; INT-2 proto-oncogene protein; murine mammary tumor virus integration site 2, mouse; oncogene INT2; Proto-oncogene Int-2; V-INT2 murine mammary tumor virus integration site oncogene homolog

          View more View less

          Gene Aliases: FGF3; HBGF-3; INT2

          View more View less

          UniProt ID: (Human) P11487

          View more View less

          Entrez Gene ID: (Human) 2248

          View more View less

          Function(s)
          protein tyrosine kinase activity Ras guanyl-nucleotide exchange factor activity fibroblast growth factor receptor binding protein binding growth factor activity 1-phosphatidylinositol-3-kinase activity phosphatidylinositol-4,5-bisphosphate 3-kinase activity growth factor intercellular signal molecule
          Process(es)
          MAPK cascade signal transduction cell-cell signaling multicellular organism development positive regulation of cell proliferation fibroblast growth factor receptor signaling pathway anatomical structure morphogenesis regulation of phosphatidylinositol 3-kinase signaling peptidyl-tyrosine phosphorylation cell differentiation phosphatidylinositol-3-phosphate biosynthetic process positive regulation of GTPase activity phosphatidylinositol phosphorylation phosphatidylinositol-mediated signaling positive regulation of cell division negative regulation of cardiac muscle tissue development
          It has to be done as per old AB suggested Products section.
          guarantee_icon

          Performance Guarantee

          If an Invitrogen™ antibody doesn't perform as described on our website or datasheet,we'll replace the product at no cost to you, or provide you with a credit for a future purchase.*

          Learn more
          help_icon

          We're here to help

          Get expert recommendations for common problems or connect directly with an on staff expert for technical assistance related to applications, equipment and general product use.

          Contact tech support
          Ordering Plus Icon Minus Icon
          • Order Status
          • Order Help
          • Quick Order
          • Supply Center
          • eProcurement
          Support Plus Icon Minus Icon
          • Help and Support
          • Contact Us
          • Technical Support Centers
          • Documents and Certificates
          • Report a Site Issue
          Resources Plus Icon Minus Icon
          • Learning Centers
          • Promotions
          • Events and Webinars
          • Social Media
          About Thermo Fisher Plus Icon Minus Icon
          • About Us About Us
          • Careers Careers
          • Investors Investors
          • News News
          • Social Responsibility Social Responsibility
          • Trademarks
          • Policies and Notices
          Our Portfolio Plus Icon Minus Icon
          • Thermo Scientific
          • Applied Biosystems
          • Invitrogen
          • Gibco
          • Ion Torrent
          • Fisher Scientific
          • Unity Lab Services
          • Patheon
          • PPD
          • Terms & Conditions
          • Privacy Information Center
          • Price & Freight Policy
          © 2006-2026 Thermo Fisher Scientific Inc. All rights reserved. All trademarks are the property of Thermo Fisher Scientific and its subsidiaries unless otherwise specified.
          Spain flag icon
          Spain

          TEST

          Your items have has been added!


          Host server : magellan-search-green-659f68c6f4-l4hk6:80/100.66.76.55:80.
          git-commit: 208ebf2ce40f07c29af7b8d1bec64c518c8c0cf8
          git-url: https://github.com/thermofisher/magellan-search
          git-branch: release/2.43.0-2026.01.05-1.0