Hamburger Menu Button
Thermo Fisher Scientific Logo
로그인
회원이 아니신가요? 계정 생성하기
  • 모든 제품 주문
    • 항체
    • Oligos, Primers, Probes and Genes
    • TaqMan Real-Time PCR 분석
    • 피펫 및 피펫 팁
    • 실험실용 원심분리기
    • 초저온 냉동고
    • 분광학
    • 비이커
    • PCR 장비 및 용품
    • 제품 카테고리 전체보기
  • 응용 분야 및 기법
    • 세포 분석
    • 실험실 장비
    • Real-Time PCR
    • PCR
    • 크로마토그래피
    • 세포 배양 및 트랜스펙션
    • DNA/RNA 추출과 분석
    • 단백질 생물학
    • 유세포분석
    • 화학 제품
    • 응용 분야 및 기법 전체보기
  • 서비스
    • 맞춤형 서비스
    • 엔터프라이즈급 실험실 정보 처리
    • 360° CDMO 및 CRO 서비스
    • CDMO 서비스
    • 임상시험 CRO 서비스
    • 장비 서비스
    • 교육 서비스
    • Unity Lab Services
    • 서비스 전체 보기
  • 지원
    • 고객센터
    • 문의하기
    • 시험성적서(COA) 및 적합성 인증서(COC)
    • Safety Data Sheets (SDS)
    • 매뉴얼
    • 인용 및 참고 문헌
    • 기기 지원
    • 기술 자료/제품 FAQ
    • 학습 센터
    • 지원 메뉴 전체보기
  • Popular
    • TaqMan Real-Time PCR Assays
      TaqMan Real-Time PCR Assays
    • Antibodies
      Antibodies
    • Oligos, Primers & Probes
      Oligos, Primers & Probes
    • GeneArt Gene Synthesis
      GeneArt Gene Synthesis
    • Cell Culture Plastics
      Cell Culture Plastics
  • 문의하기
  • 빠른 주문
  • 주문 현황
  • 제품 문서 검색
Thermo Fisher Scientific Logo

Search

전체검색
Search button
          • 주문 현황
          • 빠른주문
          • 로그인
            로그인
            회원이 아니신가요? 계정 생성하기
            • 계정정보
            • 주문내역조회
            • 커스텀제품 및 프로젝트
            • Services Central
          • Primary Antibodies ›
          • RARA/RARB/RARG Antibodies

          Invitrogen

          RARA/RARB/RARG Recombinant Rabbit Monoclonal Antibody (PSH08-74)

          {{$productOrderCtrl.translations['antibody.pdp.commerceCard.promotion.promotions']}}

          {{$productOrderCtrl.translations['antibody.pdp.commerceCard.promotion.viewpromo']}}

          {{$productOrderCtrl.translations['antibody.pdp.commerceCard.promotion.promocode']}}: {{promo.promoCode}} {{promo.promoTitle}} {{promo.promoDescription}}. {{$productOrderCtrl.translations['antibody.pdp.commerceCard.promotion.learnmore']}}

          Datasheet
          Certificates
          Protocols
          Questions & Answers
          Tech Support
          Datasheet
          Certificates
          Protocols
          Questions & Answers
          Tech Support
          Datasheet
          Certificates
          Protocols
          Questions & Answers
          Tech Support

          Cite RARA/RARB/RARG Recombinant Rabbit Monoclonal Antibody (PSH08-74)

          Additional Information:
          {{banner.description}}
          {{$ctrl.isSkuNotesCollapsed ? 'View more' : 'View less'}}
          • Antibody Testing Data (3)
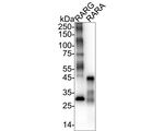
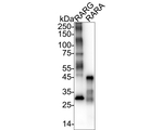
          RARA/RARB/RARG Antibody in Western Blot (WB)
          Group 53 Created with Sketch.
          RARA/RARB/RARG Antibody in Western Blot (WB)
          Group 53 Created with Sketch.

          FIGURE: 1 / 3

          {{ $ctrl.currentElement.advancedVerification.fullName }}
          {{ $ctrl.currentElement.advancedVerification.text }}

          RARA/RARB/RARG Antibody (MA570053) in WB

          Western blot analysis of RARA/RARB/RARG in various lysates. Samples were incubated with RARA/RARB/RARG monoclonal antibody (Product # MA570053) using a dilution of 1:1,000 in 5% NFDM/TBST at 4°C overnight followed by Goat Anti-Rabbit IgG - HRP Secondary Antibody at a dilution of 1:50,000 for 1 hour at room temperature. Lane 1: SK-Br-3 cell lysate; Lane 2: T-47D cell lysate; Lane 3: A375 cell lysate; Lane 4: HeLa cell lysate. Lysates/proteins at 20 µg/Lane. Predicted band size: 50 kDa; Observed band size: 58 kDa. Exposure time: 3 minutes; E... View More {{ $ctrl.currentElement.advancedVerification.fullName }} validation info. View more
          Published figure supplied by benchsci-logo
          PMID: {{$ctrl.currentElement.benchSciPubmedId}}
          View Product

          {{$ctrl.videoDesc}}

          {{$ctrl.videoLongDesc}}

          RARA/RARB/RARG Antibody in Western Blot (WB)
          RARA/RARB/RARG Antibody in Western Blot (WB)
          RARA/RARB/RARG Antibody in Western Blot (WB)
          RARA/RARB/RARG Recombinant Rabbit Monoclonal Antibody (PSH08-74)

          Product Details

          MA570053

          Applications
          Tested Dilution
          Publications

          Western Blot (WB)

          1:1,000-1:5,000
          -
          Product Specifications

          Species Reactivity

          Human

          Host/Isotype

          Rabbit / IgG

          Expression System

          HEK293 cells

          Class

          Recombinant Monoclonal

          Type

          Antibody

          Clone

          PSH08-74

          Immunogen

          Recombinant protein within human RARG aa 155-454.
          View immunogen

          Conjugate

          Unconjugated Unconjugated Unconjugated

          Form

          Liquid

          Concentration

          1 mg/mL

          Amount

          100 µg

          Purification

          Protein A

          Storage buffer

          PBS, pH 7.4, with 0.1% BSA, 40% glycerol

          Contains

          0.05% sodium azide

          Storage conditions

          Store at 4°C short term. For long term storage, store at -20°C, avoiding freeze/thaw cycles.

          Shipping conditions

          Ambient (domestic); Wet ice (international)

          Product Specific Information

          Positive control: SK-Br-3 cell lysate, T-47D cell lysate, A375 cell lysate, HeLa cell lysate.

          Subcellular location: Nucleus, Cytoplasm.

          Target Information

          All three genes are part of the nuclear receptor family and are crucial in regulating cell growth, differentiation, and apoptosis. They share structural similarities, including a DNA-binding domain and a ligand-binding domain, allowing them to bind to specific DNA sequences and regulate target gene expression. RARA (Retinoic Acid Receptor Alpha) is a nuclear receptor that mediates the effects of retinoic acid (a metabolite of vitamin A) by regulating gene transcription. It is located on chromosome 17q21.2. RARB (Retinoic Acid Receptor Beta) also functions as a nuclear receptor for retinoic acid and is involved in gene activation. It is located on chromosome 3p24. RARG (Retinoic Acid Receptor Gamma) plays a similar role in mediating retinoic acid effects and is found on chromosome 12q13.

          For Research Use Only. Not for use in diagnostic procedures. Not for resale without express authorization.

          References (0)

          Have you cited this product in a publication?
          Let us know so we can reference it here.
          Cite this product

          Bioinformatics

          Protein Aliases: HBV-activated protein; hepatitis B virus activated protein; nuclear receptor; Nuclear receptor subfamily 1 group B member 1; Nuclear receptor subfamily 1 group B member 2; Nuclear receptor subfamily 1 group B member 3; nuclear receptor; RAR beta; nucleophosmin-retinoic acid receptor alpha fusion protein NPM-RAR long form; open reading frame 1; putative; PML gene product; PML-DDX5-RARA fusion; PML-DDX5-RARA fusion protein; RAR beta 1'; RAR-alpha; RAR-beta; RAR-epsilon; RAR-gamma; RARA; RARB; RARbeta isoform 5; Retinoic acid receptor alpha; Retinoic acid receptor beta; Retinoic acid receptor gamma; retinoic acid receptor gamma 2; retinoic acid receptor, alpha polypeptide; retinoic acid receptor, beta polypeptide; TTMV/RARA fusion; TTMV/RARA fusion protein; unnamed protein product

          View more View less

          Gene Aliases: HAP; MCOPS12; NR1B1; NR1B2; NR1B3; RAR; RARA; RARalpha; RARB; RARbeta; RARbeta1; RARC; RARG; RARgamma; RRB2

          View more View less

          UniProt ID: (Human) P10276, (Human) P10826, (Human) P13631

          View more View less

          Entrez Gene ID: (Human) 5914, (Human) 5915, (Human) 5916

          View more View less

          Function(s)
          translation repressor activity, nucleic acid binding transcription regulatory region sequence-specific DNA binding RNA polymerase II regulatory region sequence-specific DNA binding RNA polymerase II core promoter proximal region sequence-specific DNA binding RNA polymerase II transcription factor activity, sequence-specific DNA binding bacterial-type RNA polymerase transcriptional repressor activity, sequence-specific DNA binding transcription coactivator binding retinoic acid binding DNA binding chromatin binding transcription factor activity, sequence-specific DNA binding RNA polymerase II transcription factor activity, ligand-activated sequence-specific DNA binding receptor binding protein binding zinc ion binding enzyme binding protein domain specific binding chromatin DNA binding histone deacetylase binding protein kinase B binding sequence-specific DNA binding retinoic acid-responsive element binding metal ion binding mRNA 5'-UTR binding protein kinase A binding alpha-actinin binding heterocyclic compound binding sequence-specific double-stranded DNA binding macromolecular complex binding retinoid X receptor binding
          Process(es)
          negative regulation of transcription from RNA polymerase II promoter ureteric bud development neural tube closure liver development glandular epithelial cell development outflow tract septum morphogenesis growth plate cartilage development regulation of transcription, DNA-templated protein phosphorylation germ cell development spermatogenesis female pregnancy positive regulation of cell proliferation negative regulation of cell proliferation male gonad development positive regulation of gene expression negative regulation of gene expression negative regulation of translation hippocampus development cell differentiation prostate gland development regulation of granulocyte differentiation negative regulation of granulocyte differentiation embryonic camera-type eye development regulation of myelination response to estradiol response to retinoic acid negative regulation of interferon-gamma production negative regulation of tumor necrosis factor production positive regulation of interleukin-13 production positive regulation of interleukin-4 production positive regulation of interleukin-5 production response to vitamin A response to cytokine multicellular organism growth mRNA transcription from RNA polymerase II promoter regulation of apoptotic process negative regulation of apoptotic process apoptotic cell clearance response to ethanol negative regulation of cell differentiation positive regulation of T-helper 2 cell differentiation positive regulation of neuron differentiation positive regulation of cell cycle negative regulation of transcription, DNA-templated positive regulation of transcription, DNA-templated positive regulation of transcription from RNA polymerase II promoter regulation of synaptic plasticity retinoic acid receptor signaling pathway positive regulation of binding ventricular cardiac muscle cell differentiation Sertoli cell fate commitment limb development face development bone development trachea cartilage development chondroblast differentiation negative regulation of cartilage development cellular response to lipopolysaccharide cellular response to retinoic acid cellular response to estrogen stimulus nucleus-associated proteasomal ubiquitin-dependent protein catabolic process regulation of hematopoietic progenitor cell differentiation negative regulation of pri-miRNA transcription from RNA polymerase II promoter chondrocyte development growth plate cartilage chondrocyte growth apoptotic process cell proliferation regulation of cell size anterior/posterior pattern specification regulation of gene expression programmed cell death negative regulation of chondrocyte differentiation embryonic hindlimb morphogenesis positive regulation of apoptotic process positive regulation of programmed cell death regulation of myeloid cell differentiation embryonic eye morphogenesis reproductive structure development gland development canonical Wnt signaling pathway bone morphogenesis epithelium development prostate gland epithelium morphogenesis Harderian gland development stem cell proliferation cellular response to leukemia inhibitory factor negative regulation of stem cell proliferation signal transduction striatum development neurogenesis embryonic digestive tract development neural precursor cell proliferation
          It has to be done as per old AB suggested Products section.

          Disclaimer

          Close

          Clicking the images or links will redirect you to a website hosted by BenchSci that provides third-party scientific content. Neither the content nor the BenchSci technology and processes for selection have been evaluated by us; we are providing them as-is and without warranty of any kind, including for use or application of the Thermo Fisher Scientific products presented.

          guarantee_icon

          Performance Guarantee

          If an Invitrogen™ antibody doesn't perform as described on our website or datasheet,we'll replace the product at no cost to you, or provide you with a credit for a future purchase.*

          Learn more
          help_icon

          We're here to help

          Get expert recommendations for common problems or connect directly with an on staff expert for technical assistance related to applications, equipment and general product use.

          Contact tech support
          온라인 주문 Plus Icon Minus Icon
          • 주문 현황
          • 주문 지원
          • 빠른 주문
          • Supply Center
          • eProcurement
          지원 Plus Icon Minus Icon
          • Help and Support
          • 고객 센터
          • 기술 지원 센터
          • 제품 문서 검색
          • 사이트 문제 보고
          교육 및 이벤트 Plus Icon Minus Icon
          • 교육 센터
          • 프로모션
          • 이벤트 및 웨비나
          • 소셜 미디어
          About Thermo Fisher Plus Icon Minus Icon
          • 소개 소개
          • 채용 채용
          • 투자자 투자자
          • 뉴스 뉴스
          • 사회적 책임 사회적 책임
          • Trademarks
          • 공정거래 공정거래
          • 정책 및 고지
          Our Portfolio Plus Icon Minus Icon
          • Thermo Scientific
          • Applied Biosystems
          • Invitrogen
          • Gibco
          • Ion Torrent
          • Fisher Scientific
          • Unity Lab Services
          • Patheon
          • PPD
          • 이용 약관
          • 개인정보 처리방침
          • 가격 및 운임 정책
          © 2006-2026 Thermo Fisher Scientific Inc. All rights reserved. All trademarks are the property of Thermo Fisher Scientific and its subsidiaries unless otherwise specified.
          Korea flag icon
          Korea

          고객센터 문의 | 평일 09:00~18:00
          1661-9555   |   Live Chat   |   카카오톡 상담

           

          장비 서비스 문의 | 평일 09:00~18:00
          1661-5055   |   Live Chat

          고객센터 문의 | 평일 09:00~18:00
          1661-9555   |   Live Chat   |   카카오톡 상담

           

          장비 서비스 문의 | 평일 09:00~18:00
          1661-5055   |   Live Chat

          고객센터 문의 | 평일 09:00~18:00
          1661-9555   |   Live Chat   |   카카오톡 상담

           

          장비 서비스 문의 | 평일 09:00~18:00
          1661-5055   |   Live Chat

          써모 피셔 사이언티픽 코리아 주식회사
          대표자 : 석수진
          사업자 등록번호 : 117-81-46910
          입금계좌 : 하나은행 336-890014-06204
          (예금주 : 써모피셔사이언티픽코리아 주식회사)

           

          써모 피셔 사이언티픽 솔루션스 유한회사
          대표자 : 석수진
          사업자 등록번호 : 114-86-04783
          입금계좌 : 신한은행 140-004-396660
          (예금주 : 써모피셔사이언티픽솔루션스 유한회사)

           

          주소 : 서울시 강남구 광평로 281 수서오피스빌딩 12층 06349 | 통신판매업신고번호 : 2015-서울강남-00898

          ISMS Logo

          Your items have has been added!


          Host server : magellan-search-blue-64dd947b88-fkn7b:80/100.66.79.246:80.
          git-commit: 0f46c0ba67a87c24f5ac662a3edafcaba07cd08c
          git-url: https://github.com/thermofisher/magellan-search
          git-branch: release/2.45.0-Offline