Search
Search
複雑なボリュームデータの 3 次元再構成を迅速かつ容易に行えます。Inspect 3D は透過型電子顕微鏡、Thermo Scientific Krios G4 クライオ TEM または Glacios クライオ TEM を採用した一軸および二軸電子線トモグラフィー(ET)向けの完璧なソリューションです。
Inspect 3D ポストアライメントおよび再構成ソフトウェアには、二軸および一軸電子線トモグラフィーを迅速かつ容易に行うためのすべてがそろっています。
クライオ電子顕微鏡技術により、さまざまなスケールの3D生体構造が自然に近い状態で観察できるようになり、より迅速かつ効率的な医薬品開発を促進しています。
クライオ電子顕微鏡法によって、タンパク質(単粒子解析法)から細胞環境(トモグラフィー)、植物の全体構造(大容量解析)まで調べることができ、基礎的な植物学研究が行えます。
透過型電子顕微鏡法(TEM)は、他の方法で疾患の性質が確定できなかった場合に用いられます。TEMのナノ生物学イメージングにより、特定の病態について正確で信頼性の高い知見が得られます。

単粒子解析法
単粒子解析法(SPA)はクライオ電子顕微鏡法のひとつであり、原子分解能に近い構造解析が可能で、ダイナミックな生物学的プロセスおよび生体分子複合体/アセンブリの構造を明らかにします。

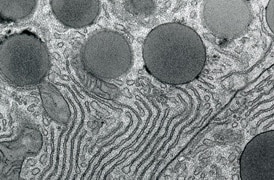
クライオトモグラフィー
クライオ電子線トモグラフィー(cryo-ET)を用いれば、個々のタンパク質の構造情報と細胞内の空間的な位置関係の両方を明らかにできます。これはcryo-ET特有の機能であり、この機能により、cryo-ETは細胞生物学における大きな可能性を秘めています。Cryo-ETは光学顕微鏡法と、単粒子解析法などの原子レベルに近い分解能を達成する手法とを橋渡しする技術です。

単粒子解析法
単粒子解析法(SPA)はクライオ電子顕微鏡法のひとつであり、原子分解能に近い構造解析が可能で、ダイナミックな生物学的プロセスおよび生体分子複合体/アセンブリの構造を明らかにします。

クライオトモグラフィー
クライオ電子線トモグラフィー(cryo-ET)を用いれば、個々のタンパク質の構造情報と細胞内の空間的な位置関係の両方を明らかにできます。これはcryo-ET特有の機能であり、この機能により、cryo-ETは細胞生物学における大きな可能性を秘めています。Cryo-ETは光学顕微鏡法と、単粒子解析法などの原子レベルに近い分解能を達成する手法とを橋渡しする技術です。




