Hamburger Menu Button
Thermo Fisher Scientific Logo
Iniciar sesión
¿No tiene una cuenta? Crear una cuenta
  • Productos
    • Consumibles de laboratorio
    • Equipos de laboratorio
    • Instrumentos de Laboratorio
    • Clínica y Diagnóstico
    • Cromatografía
    • Espectrometría de Masas
    • Cultivo Celular
    • Análisis Celular
    • Anticuerpos
    • Ver todas las categorías de producto
  • Aplicaciones
    • Cultivo celular y transfección
    • Citometría de flujo
    • Investigación sobre el cáncer
    • Cromatografía
    • Secuenciación
    • PCR
    • Soluciones para laboratorio
    • Diagnóstico de alergias
    • Ver todas las aplicaciones y técnicas
  • Servicios
    • Servicios Personalizados
    • Servicios de Capacitación
    • Informática para laboratorios de ámbito empresarial
    • Servicios financieros y de arrendamiento
    • Servicios 360° de CDMO y CRO
    • Servicios de CDMO
    • Servicios de CRO
    • Inspección de seguridad alimentaria Servicios
    • Ver todos los servicios
  • Ayuda y Soporte
    • Crear una nueva cuenta
    • Cómo hacer el pedido
    • Póngase en contacto con nosotros
    • Cambio de ubicación
    • Ver toda la ayuda y soporte técnico
  • Popular
    • TaqMan Real-Time PCR Assays
      TaqMan Real-Time PCR Assays
    • Antibodies
      Antibodies
    • Oligos, Primers & Probes
      Oligos, Primers & Probes
    • GeneArt Gene Synthesis
      GeneArt Gene Synthesis
    • Cell Culture Plastics
      Cell Culture Plastics
  • A quiénes brindamos nuestros servicios
    • Industria biotecnológica
    • Sector biofarmacéutico
    • CDMO
    • Diagnósticos de laboratorio
    • Ciencias aplicadas e industriales
  • Ofertas especiales
  • Contáctenos
  • Orden Rápida
  • Documentos y certificados
Thermo Fisher Scientific Logo

Search

Buscar
Search button
          • Contáctenos
          • Orden Rápida
          • Iniciar sesión
            Iniciar sesión
            ¿No tiene una cuenta? Crear una cuenta
            • Cuenta
            • Estatus del pedido
            • Productos personalizados y proyectos​
          • Primary Antibodies ›
          • RUNX1/RUNX2/RUNX3 Antibodies

          Invitrogen

          RUNX1/RUNX2/RUNX3 Recombinant Rabbit Monoclonal Antibody (SD0803)

          View all (6) RUNX1/RUNX2/RUNX3 antibodies

          {{$productOrderCtrl.translations['antibody.pdp.commerceCard.promotion.promotions']}}

          {{$productOrderCtrl.translations['antibody.pdp.commerceCard.promotion.viewpromo']}}

          {{$productOrderCtrl.translations['antibody.pdp.commerceCard.promotion.promocode']}}: {{promo.promoCode}} {{promo.promoTitle}} {{promo.promoDescription}}. {{$productOrderCtrl.translations['antibody.pdp.commerceCard.promotion.learnmore']}}

          Datasheet
          Certificates
          Protocols
          Questions & Answers
          Tech Support
          Datasheet
          Certificates
          Protocols
          Questions & Answers
          Tech Support
          Datasheet
          Certificates
          Protocols
          Questions & Answers
          Tech Support

          Cite RUNX1/RUNX2/RUNX3 Recombinant Rabbit Monoclonal Antibody (SD0803)

          Additional Information:
          {{banner.description}}
          {{$ctrl.isSkuNotesCollapsed ? 'View more' : 'View less'}}
          • Antibody Testing Data (7)
          RUNX1/RUNX2/RUNX3 Antibody in Immunocytochemistry (ICC/IF)
          Group 53 Created with Sketch.
          RUNX1/RUNX2/RUNX3 Antibody in Immunocytochemistry (ICC/IF)
          Group 53 Created with Sketch.

          FIGURE: 1 / 7

          {{ $ctrl.currentElement.advancedVerification.fullName }}
          {{ $ctrl.currentElement.advancedVerification.text }}

          RUNX1/RUNX2/RUNX3 Antibody (MA5-32373) in ICC/IF

          Immunocytochemical analysis of RUNX1/RUNX2/RUNX3 in SHG-44 cells using a RUNX1/RUNX2/RUNX3 Monoclonal antibody (Product # MA5-32373) as seen in green. The nuclear counter stain is DAPI (blue). Cells were fixed in paraformaldehyde, permeabilised with 0.25% Triton X100/PBS. {{ $ctrl.currentElement.advancedVerification.fullName }} validation info. View more
          Published figure supplied by benchsci-logo
          PMID: {{$ctrl.currentElement.benchSciPubmedId}}
          View Product

          {{$ctrl.videoDesc}}

          {{$ctrl.videoLongDesc}}

          RUNX1/RUNX2/RUNX3 Antibody in Immunocytochemistry (ICC/IF)
          RUNX1/RUNX2/RUNX3 Antibody in Immunocytochemistry (ICC/IF)
          RUNX1/RUNX2/RUNX3 Antibody in Immunocytochemistry (ICC/IF)
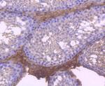
          RUNX1/RUNX2/RUNX3 Antibody in Immunohistochemistry (Paraffin) (IHC (P))
          RUNX1/RUNX2/RUNX3 Antibody in Immunohistochemistry (Paraffin) (IHC (P))
          RUNX1/RUNX2/RUNX3 Antibody in Western Blot (WB)
          RUNX1/RUNX2/RUNX3 Antibody in Flow Cytometry (Flow)
          RUNX1/RUNX2/RUNX3 Recombinant Rabbit Monoclonal Antibody (SD0803)

          Product Details

          MA5-32373

          Applications
          Tested Dilution
          Publications

          Western Blot (WB)

          1:500-1:2,000
          -

          Immunohistochemistry (Paraffin) (IHC (P))

          1:50-1:200
          -

          Immunocytochemistry (ICC/IF)

          1:50-1:200
          -

          Flow Cytometry (Flow)

          1:50-1:100
          -
          Product Specifications

          Species Reactivity

          Human, Mouse, Rat

          Host/Isotype

          Rabbit / IgG

          Expression System

          HEK293 cells

          Class

          Recombinant Monoclonal

          Type

          Antibody

          Clone

          SD0803

          Immunogen

          Synthetic peptide within Human RUNX1 aa 404-453.
          3D Epitope / Immunogen

          Conjugate

          Unconjugated Unconjugated Unconjugated

          Form

          Liquid

          Concentration

          1 mg/mL

          Amount

          100 µg

          Purification

          Protein A

          Storage buffer

          TBS, pH 7.4, with 40% Glycerol, 0.05% BSA

          Contains

          0.05% sodium azide

          Storage conditions

          Store at 4°C short term. For long term storage, store at -20°C, avoiding freeze/thaw cycles.

          Shipping conditions

          Ambient (domestic); Wet ice (international)

          RRID

          AB_2809654

          Product Specific Information

          Recombinant rabbit monoclonal antibodies are produced using in vitro expression systems. The expression systems are developed by cloning in the specific antibody DNA sequences from immunoreactive rabbits. Then, individual clones are screened to select the best candidates for production. The advantages of using recombinant rabbit monoclonal antibodies include: better specificity and sensitivity, lot-to-lot consistency, animal origin-free formulations, and broader immunoreactivity to diverse targets due to larger rabbit immune repertoire.

          Target Information

          Core binding factor (CBF) is a heterodimeric transcription factor that binds to the core element of many enhancers and promoters. The protein encoded by this gene represents the alpha subunit of CBF and is thought to be involved in the development of normal hematopoiesis. Chromosomal translocations involving this gene are welldocumented and have been associated with several types of leukemia. Three transcript variants encoding different isoforms have been found for this gene.

          For Research Use Only. Not for use in diagnostic procedures. Not for resale without express authorization.

          References (0)

          Have you cited this product in a publication?
          Let us know so we can reference it here.
          Cite this product

          Bioinformatics

          Protein Aliases: Acute myeloid leukemia 1 protein; Acute myeloid leukemia 2 protein; Acute myeloid leukemia 3 protein; acute myeloid leukemia gene 2; AKV core binding factor; aml1; AML1-ETO fusion; AML1-ETO fusion protein; AML1-EVI-1 fusion protein; CBF-alpha-1; CBF-alpha-2; CBF-alpha-3; core binding factor alpha 1; core binding factor alpha 2; core binding factor alpha 3; core-binding factor runt domain alpha subunit 2 (acute myeloid leukemia 1 oncogene); Core-binding factor subunit alpha-1; Core-binding factor subunit alpha-2; Core-binding factor subunit alpha-3; core-binding factor, runt domain, alpha subunit 1; core-binding factor, runt domain, alpha subunit 2; core-binding factor, runt domain, alpha subunit 3; mutant RUNX1; Oncogene AML-1; Oncogene AML-2; Oncogene AML-3; OSF-2; Osteoblast-specific transcription factor 2; PEA2 alpha C; PEA2-alpha A; PEA2-alpha B; PEA2-alpha C; PEBP2 alpha A; PEBP2 alpha C; PEBP2-alpha A; PEBP2-alpha B; PEBP2-alpha C; Polyomavirus enhancer-binding protein 2 alpha A subunit; Polyomavirus enhancer-binding protein 2 alpha B subunit; Polyomavirus enhancer-binding protein 2 alpha C subunit; runt domain, alpha subunit 1; runt domain, alpha subunit 2; runt domain, alpha subunit 3; runt related transcription factor 1; runt related transcription factor 2; Runt related transcription factor 3; Runt-related transcription factor 1; Runt-related transcription factor 2; Runt-related transcription factor 3; RUNX 2; RUNX-2; RUNX1 with skipped exon 5; SL3-3 enhancer factor 1 alpha A subunit; SL3-3 enhancer factor 1 alpha B subunit; SL3-3 enhancer factor 1 alpha C subunit; SL3/AKV core-binding factor alpha A subunit; SL3/AKV core-binding factor alpha B subunit; SL3/AKV core-binding factor alpha C subunit; transcription factor AML2; transcription factor AML2/CBFA3; unnamed protein product

          View more View less

          Gene Aliases: AML1; AML1-EVI-1; AML2; AML3; AMLCR1; Cbf; CBF-alpha-1; CBF-alpha-2; CBF2alpha; Cbfa-1; CBFA1; CBFA2; CBFA3; CCD; CCD1; CLCD; EVI-1; LS3; OSF-2; OSF2; PEA2aA; PEBP2A; Pebp2a1; Pebp2a2; PEBP2A3; PEBP2aA; PEBP2aB; PEBP2aC; PEBP2alpha; Pebpa2a; Pebpa2b; RUNX1; RUNX2; RUNX3

          View more View less

          UniProt ID: (Human) Q01196, (Human) Q13950, (Human) Q13761, (Rat) Q63046, (Mouse) Q08775, (Mouse) Q64131

          View more View less

          Entrez Gene ID: (Human) 861, (Human) 860, (Human) 864, (Rat) 50662, (Mouse) 12394, (Rat) 367218, (Mouse) 12393, (Mouse) 12399, (Rat) 156726

          View more View less

          Function(s)
          transcription regulatory region sequence-specific DNA binding RNA polymerase II regulatory region sequence-specific DNA binding RNA polymerase II core promoter proximal region sequence-specific DNA binding RNA polymerase II transcription factor activity, sequence-specific DNA binding transcription corepressor binding transcription coactivator binding transcriptional activator activity, RNA polymerase II transcription regulatory region sequence-specific binding DNA binding transcription factor activity, sequence-specific DNA binding calcium ion binding protein binding ATP binding protein homodimerization activity protein heterodimerization activity DNA-binding transcription factor binding sequence-specific double-stranded DNA binding core promoter proximal region sequence-specific DNA binding chromatin binding protein domain specific binding chromatin DNA binding bHLH transcription factor binding regulatory region DNA binding core promoter binding molecular_function transcription factor binding repressing transcription factor binding RNA polymerase II core promoter sequence-specific DNA binding transcriptional activator activity, RNA polymerase II core promoter proximal region sequence-specific binding histone deacetylase binding transcription regulatory region DNA binding Runt transcription factor DNA-binding transcription factor immunoglobulin fold transcription factor gene-specific transcriptional regulator
          Process(es)
          negative regulation of transcription from RNA polymerase II promoter ossification chondrocyte differentiation myeloid leukocyte differentiation regulation of transcription, DNA-templated regulation of transcription from RNA polymerase II promoter regulation of plasminogen activation hemopoiesis myeloid cell differentiation neuron differentiation negative regulation of granulocyte differentiation positive regulation of granulocyte differentiation positive regulation of interleukin-2 production positive regulation of collagen biosynthetic process negative regulation of CD4-positive, alpha-beta T cell differentiation positive regulation of CD8-positive, alpha-beta T cell differentiation regulation of cell differentiation positive regulation of angiogenesis positive regulation of transcription, DNA-templated positive regulation of transcription from RNA polymerase II promoter peripheral nervous system neuron development positive regulation of developmental process positive regulation of multicellular organismal process regulation of cardiac muscle cell proliferation cardiac muscle tissue regeneration hematopoietic stem cell proliferation positive regulation of extracellular matrix organization regulation of connective tissue replacement regulation of multicellular organismal development skeletal system development osteoblast differentiation endochondral ossification osteoblast fate commitment chondrocyte development osteoblast development transmembrane receptor protein serine/threonine kinase signaling pathway smoothened signaling pathway cell proliferation positive regulation of cell proliferation gene expression regulation of gene expression positive regulation of gene expression cell differentiation T cell differentiation regulation of ossification bone mineralization BMP signaling pathway positive regulation of chondrocyte differentiation embryonic forelimb morphogenesis ligamentous ossification regulation of fibroblast growth factor receptor signaling pathway odontogenesis of dentin-containing tooth regulation of odontogenesis of dentin-containing tooth regulation of osteoblast differentiation positive regulation of osteoblast differentiation negative regulation of smoothened signaling pathway negative regulation of transcription, DNA-templated cell maturation embryonic cranial skeleton morphogenesis skeletal system morphogenesis stem cell differentiation epithelial cell proliferation positive regulation of epithelial cell proliferation SMAD protein signal transduction stem cell proliferation response to sodium phosphate positive regulation of stem cell proliferation protein phosphorylation negative regulation of cell cycle negative regulation of epithelial cell proliferation response to transforming growth factor beta in utero embryonic development liver development myeloid progenitor cell differentiation transcription, DNA-templated central nervous system development negative regulation of cell proliferation regulation of signal transduction hair follicle morphogenesis response to retinoic acid embryonic hemopoiesis behavioral response to pain neuron development definitive hemopoiesis regulation of hair follicle cell proliferation cellular response to transforming growth factor beta stimulus positive regulation of cell maturation positive regulation of progesterone secretion regulation of T cell anergy transcription from RNA polymerase II promoter positive regulation of interferon-gamma production cellular response to fibroblast growth factor stimulus positive regulation of ossification cellular response to BMP stimulus positive regulation of transcription from RNA polymerase II promoter involved in cellular response to chemical stimulus axon guidance neuron projection development interferon-gamma production mRNA transcription from RNA polymerase II promoter positive regulation of extrinsic apoptotic signaling pathway biological_process
          It has to be done as per old AB suggested Products section.

          Disclaimer

          Close

          Clicking the images or links will redirect you to a website hosted by BenchSci that provides third-party scientific content. Neither the content nor the BenchSci technology and processes for selection have been evaluated by us; we are providing them as-is and without warranty of any kind, including for use or application of the Thermo Fisher Scientific products presented.

          guarantee_icon

          Performance Guarantee

          If an Invitrogen™ antibody doesn't perform as described on our website or datasheet,we'll replace the product at no cost to you, or provide you with a credit for a future purchase.*

          Learn more
          help_icon

          We're here to help

          Get expert recommendations for common problems or connect directly with an on staff expert for technical assistance related to applications, equipment and general product use.

          Contact tech support
          Pedidos Plus Icon Minus Icon
          • Estatus del pedido
          • Ayuda para pedidos
          • Orden Rápida
          • Supply Center
          • eProcurement
          Soporte Plus Icon Minus Icon
          • Ayuda y soporte
          • Entre en Contacto
          • Centros de asistencia técnica
          • Consultar documentos y certificados
          • Informar de un problema en la web
          Recursos Plus Icon Minus Icon
          • Centros de aprendizaje
          • Promociones
          • Eventos & Webinars
          • Medios Sociales
          Acerca de Thermo Fisher Plus Icon Minus Icon
          • Acerca de nosotros Acerca de nosotros
          • Empleo Empleo
          • Inversores Inversores
          • Noticias Noticias
          • Responsabilidad social Responsabilidad social
          • Marcas comerciales
          • Políticas y avisos
          Nuestro Portafolio Plus Icon Minus Icon
          • Thermo Scientific
          • Applied Biosystems
          • Invitrogen
          • Gibco
          • Ion Torrent
          • Fisher Scientific
          • Patheon
          • PPD
          • Terms & Conditions
          • Privacy Policy
          • Price & Freight Policy
          © 2006-2026 Thermo Fisher Scientific Inc. All rights reserved. All trademarks are the property of Thermo Fisher Scientific and its subsidiaries unless otherwise specified.
          México flag icon
          México

          Your items have has been added!


          Host server : magellan-search-green-b49b87d85-9fm2r:80/100.66.79.29:80.
          git-commit: 5b8c860b7cdb41e9cfe07630520f6b51e109d38e
          git-url: https://github.com/thermofisher/magellan-search
          git-branch: release/2.47.0-Offline