Search
Search
Thermo Scientific Inspect 3D Software provides a user-friendly solution for alignment of tomographic image series (obtained with transmission electron microscopy or scanning transmission electron microscopy, TEM or STEM) along with energy dispersive X-ray spectroscopy (EDS) maps, producing a 3D reconstruction of the data. Inspect 3D Software also offers basic visualization functionality. All Thermo Scientific TEM, STEM and EDS tomography software are fully compatible with Inspects 3D Software.
Inspect 3D Software begins with a coarse X-Y alignment based on image cross-correlation. Alignment can be further refined with automated bead tracking or patch tracking procedures. Bead tracking traces multiple round particles on the specimen throughout the tilt series, correcting rotation and magnification changes for each image. Patch tracking traces multiple areas of the image throughout the tilt series and then combines the results.
Inspect 3D Software offers two classical algorithms for 3D volume reconstruction: weighted back projection (WBP) and simultaneous iterative reconstruction technique (SIRT). Additionally, Inspect 3D Software offers easy EDS-tomography reconstruction with simultaneous processing of STEM and EDS files, called HAADF-EDS bimodal tomography (HEBT), leading to enhanced elemental reconstruction.
Iterative reconstruction techniques offered with Inspect 3D Software include;
The resulting reconstructed volumes can be directly imported into Thermo Scientific Avizo and Amira Software for further visualization and analysis.
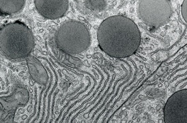
Las técnicas de criomicroscopía electrónica permiten observaciones multiescala de estructuras biológicas 3D en sus estados casi nativos, haciendo que la información obtenida sea más rápida y el desarrollo de tratamientos más eficaz.
La investigación fundamental de la biología de las plantas se hace posible mediante la criomicroscopía electrónica, que proporciona información sobre proteínas (con análisis de partículas individuales), a su contexto celular (con tomografía), hasta la estructura general de la planta (análisis de grandes volúmenes).
La microscopía electrónica de transmisión (TEM) se utiliza cuando la naturaleza de la enfermedad no puede establecerse mediante métodos alternativos. Con las imágenes nano-biológicas, TEM proporciona información precisa y fiable para ciertas patologías.
La industria moderna exige un alto rendimiento con una calidad superior, un equilibrio que se mantiene a través de un control de procesos sólido. Las herramientas SEM y TEM con software de automatización exclusivo proporcionan información rápida y multiescala para la supervisión y la mejora de procesos.
El control y garantía de calidad son esenciales en la industria moderna. Ofrecemos una gama de herramientas de EM y espectroscopía para el análisis multiescala y multimodal de defectos, lo que le permite tomar decisiones fiables e informadas para el control y la mejora de procesos.
Se investigan nuevos materiales a escalas cada vez más pequeñas para lograr el máximo control de sus propiedades físicas y químicas. La microscopía electrónica proporciona a los investigadores información clave sobre una amplia variedad de características materiales a escala nanométrica.
Microscopía electrónica avanzada, haz de iones enfocado y técnicas analíticas asociadas para identificar soluciones viables y métodos de diseño para la fabricación de dispositivos semiconductores de alto rendimiento.
Las estructuras de dispositivos semiconductores cada vez más complejas dan lugar a que existan más ubicaciones en las que se oculten los defectos inducidos por fallos. Nuestros flujos de trabajo de última generación le ayudarán a localizar y caracterizar los sutiles problemas eléctricos que afectan a la producción, al rendimiento y a la fiabilidad.
La demanda continua de los consumidores impulsa la creación de dispositivos electrónicos más pequeños, más rápidos y más baratos. Su producción se basa en instrumentos y flujos de trabajo de alta productividad que generan imágenes, analizan y caracterizan una amplia gama de semiconductores y dispositivos de visualización.

El análisis de partículas individuales (SPA) es una técnica de microscopía crioelectrónica que permite la caracterización estructural en resoluciones casi atómicas, descubriendo procesos biológicos dinámicos y la estructura de complejos/conjuntos biomoleculares.

La tomografía crioelectrónica (Cryo-ET) proporciona información estructural sobre las proteínas individuales y sus disposiciones espaciales en la célula. Esto hace que sea una técnica realmente única y también explica el motivo por el que el método tiene un enorme potencial para la biología celular. La tomografía crioelectrónica puede reducir la brecha entre la microscopía luminosa y las técnicas de resolución atómica cercana, como el análisis de partículas únicas.

El desarrollo de materiales suele requerir caracterización en 3D en varias escalas. Los instrumentos DualBeam permiten el corte en secciones en serie de grandes volúmenes y la posterior adquisición de imágenes SEM a escala de nanómetro, las cuales se pueden procesar en reconstrucciones 3D de la muestra de alta calidad.
_Technique_800x375_144DPI.jpg)
La investigación de materiales modernos depende cada vez más del análisis a nanoescala en tres dimensiones. La caracterización en 3D, incluidos los datos de composición para el contexto químico y estructural completo, es posible con EM en 3D y espectroscopia de rayos X dispersiva.
Los microscopios de electrones de transmisión de Thermo Fisher Scientific ofrecen imágenes y análisis de alta resolución de dispositivos semiconductores, lo que permite a los fabricantes calibrar conjuntos de herramientas, diagnosticar mecanismos de fallos y optimizar la producción rendimiento general del proceso.

El análisis de partículas individuales (SPA) es una técnica de microscopía crioelectrónica que permite la caracterización estructural en resoluciones casi atómicas, descubriendo procesos biológicos dinámicos y la estructura de complejos/conjuntos biomoleculares.

La tomografía crioelectrónica (Cryo-ET) proporciona información estructural sobre las proteínas individuales y sus disposiciones espaciales en la célula. Esto hace que sea una técnica realmente única y también explica el motivo por el que el método tiene un enorme potencial para la biología celular. La tomografía crioelectrónica puede reducir la brecha entre la microscopía luminosa y las técnicas de resolución atómica cercana, como el análisis de partículas únicas.

El desarrollo de materiales suele requerir caracterización en 3D en varias escalas. Los instrumentos DualBeam permiten el corte en secciones en serie de grandes volúmenes y la posterior adquisición de imágenes SEM a escala de nanómetro, las cuales se pueden procesar en reconstrucciones 3D de la muestra de alta calidad.
_Technique_800x375_144DPI.jpg)
La investigación de materiales modernos depende cada vez más del análisis a nanoescala en tres dimensiones. La caracterización en 3D, incluidos los datos de composición para el contexto químico y estructural completo, es posible con EM en 3D y espectroscopia de rayos X dispersiva.
Los microscopios de electrones de transmisión de Thermo Fisher Scientific ofrecen imágenes y análisis de alta resolución de dispositivos semiconductores, lo que permite a los fabricantes calibrar conjuntos de herramientas, diagnosticar mecanismos de fallos y optimizar la producción rendimiento general del proceso.
Para garantizar un rendimiento óptimo del sistema, le proporcionamos acceso a una red de expertos de primer nivel en servicios de campo, asistencia técnica y piezas de repuesto certificadas.










