Search
Search
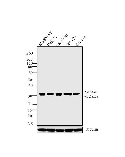
Western blot analysis was performed on whole cell extracts (30 ug lysate) of SH-SY5Y (Lane1), IMR-32 (Lane 2), SK-N-SH (Lane 3), PC-12 (Lane 4) and Caco-2 (lane 5). The blots were probed with ABfinity? Syntaxin -6 Recombinant Rabbit Monoclonal Antibody (Product ## 701823, 1-2 ug/ml) and detected by chemiluminescence using Goat anti-Rabbit IgG (H+L) Superclonal? Secondary Antibody, HRP conjugate (Product ## A27036, 0.4 ug/ml, 1:2500 dilution). A 32 kDa band corresponding to Syntaxin-6 was observed across cell lines tested. Known quantity of protein samples were electrophoresed using Novex® NuPAGE® 4-12% Bis-Tris gel (Product ## NP0321BOX), XCell SureLock? Electrophoresis System (Product ## EI0002), and Novex® Sharp Pre-Stained Protein Standard (Product ## LC5800). Resolved proteins were then transferred onto a nitrocellulose membrane with iBlot® Dry Blotting System (Product ## IB21001). The membrane was probed with the relevant primary and secondary Antibody following blocking with 5% skimmed milk. Chemiluminescent detection was performed using Novex® ECL Chemiluminescent Substrate Reagent Kit (Product ## WP20005).
