Search
Search
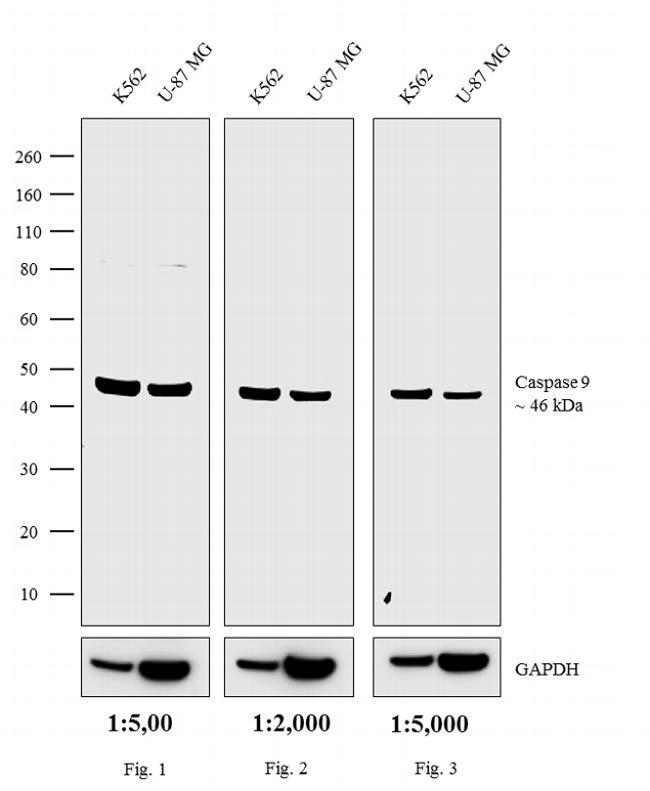
Western blot analysis was performed on whole cell extracts (30 µg lysate) of K562 (Lane 1) and U-87 MG (Lane 2). The blots were probed with Anti-Caspase 9 Rabbit Polyclonal Antibody (Product ## PA5-16358, 3 µg/mL) and detected using Goat anti-Rabbit IgG (H+L) Cross-Adsorbed Secondary Antibody, HRP (Product ## G-21234) at dilutions 1:500 (Fig. 1), 1:2,000 (Fig. 2) and 1:5,000 (Fig. 3). A 46 kDa band corresponding to Caspase 9 was observed. Known quantity of protein samples were electrophoresed using Novex® NuPAGE® 4-12 % Bis-Tris gel (Product ## NP0322BOX), XCell SureLock™ Electrophoresis System (Product ## EI0002) and Novex® Sharp Pre-Stained Protein Standard (Product ## LC5800). Resolved proteins were then transferred onto a nitrocellulose membrane with iBlot® 2 Dry Blotting System (Product ## IB21001). The membrane was probed with the relevant primary and secondary antibody after blocking with 5 % skimmed milk. Chemiluminescent detection was performed using Novex® ECL Chemiluminescent Substrate Reagent Kit (Product ## WP20005).
